Unveiling The Distinct Battles: Chronic Myeloid Vs. Chronic Lymphocytic Leukemia. Greetings to a place where each photo tells a story. In ...

Unveiling The Distinct Battles: Chronic Myeloid Vs. Chronic Lymphocytic Leukemia / 162+ Chronic Lymphocytic Leukemia: Symptoms, Stages, Treatments Unveiling The Distinct Battles: Chronic Myeloid Vs. Chronic Lymphocytic Leukemia / 162+ Chronic Lymphocytic Leukemia: Symptoms, Stages, Treatments

Unveiling The Distinct Battles: Chronic Myeloid Vs. Chronic Lymphocytic Leukemia / 162+ Chronic Lymphocytic Leukemia: Symptoms, Stages, Treatments

Unveiling The Distinct Battles: Chronic Myeloid Vs. Chronic Lymphocytic Leukemia / 162+ Chronic Lymphocytic Leukemia: Symptoms, Stages, Treatments

Unveiling The Distinct Battles: Chronic Myeloid Vs. Chronic Lymphocytic Leukemia. Greetings to a place where each photo tells a story. In this site, we're excited to share captivating ideas, a collection of captivating photos, and inspiration that could change your view on the world and broaden your knowledges. This journey starts with the image you see here.

If you are searching about Chronic lymphocytic leukemia flashcards, you've came to the right web. We have 35 images about Chronic lymphocytic leukemia flashcards, such as Chronic lymphocytic leukemia vs chronic myeloid leukemia, Chronic myeloid leukemia, and also Chronic leukemia vs acute leukemia. Here you go:

(pdf) Unveiling The Rarity: Chronic Myeloid Leukaemia In Children And Adults: A Comparative Analysis

Chronic lymphocytic leukemia: symptoms, stages, treatments. leukemia symptoms in adults. chronic myeloid leukemia stock illustrations. Simultaneous chronic myeloid leukemia and chronic lymphocytic leukemia. Chronic myeloid leukemia calgary guide. Chronic leukemia vs acute leukemia. Chronic lymphocytic leukemia prevalence incidence. chronic myeloid leukemia calgary guide. (pdf) n-methyladenosine (ma) rna modification in chronic myeloid leukemia: unveiling a novel

(pdf) unveiling the rarity: chronic myeloid leukaemia in children and adults: a comparative analysis www.researchgate.net

(pdf) N-methyladenosine (ma) Rna Modification In Chronic Myeloid Leukemia: Unveiling A Novel

Zanubrutinib shows superior progression-free survival vs ibrutinib in chronic lymphocytic leukemia. Acute vs chronic leukemia chart. (pdf) unveiling the rarity: chronic myeloid leukaemia in children and adults: a comparative analysis. chronic leukemia vs acute leukemia. chronic leukemia vs acute leukemia. Chronic myeloid leukemia vs. chronic lymphocytic leukemia. (pdf) unveiling the rarity: chronic myeloid leukaemia in children and adults: a comparative analysis. chronic myeloid leukemia vs. chronic lymphocytic leukemia. chronic lymphocytic leukemia: symptoms, stages, treatments

(pdf) n-methyladenosine (ma) rna modification in chronic myeloid leukemia: unveiling a novel www.researchgate.net

Chronic Leukemia Vs Acute Leukemia

Acute vs chronic leukemia chart. Chronic leukemia vs acute leukemia. chronic leukemia vs acute leukemia. (pdf) unveiling the rarity: chronic myeloid leukaemia in children and adults: a comparative analysis. (pdf) n-methyladenosine (ma) rna modification in chronic myeloid leukemia: unveiling a novel. chronic leukemia vs acute leukemia. Simultaneous chronic myeloid leukemia and chronic lymphocytic leukemia. Aml vs. cml: how are these leukemia types different?. Leukemia symptoms in adults

Chronic leukemia vs acute leukemia ar.inspiredpencil.com

Chronic Myeloid Leukemia

chronic lymphocytic leukemia vs chronic myeloid leukemia. Chronic leukemia vs acute leukemia. Zanubrutinib shows superior progression-free survival vs ibrutinib in chronic lymphocytic leukemia. Acute lymphoblastic leukemia vs. chronic lymphocytic leukemia. chronic myeloid leukemia (cml). chronic myeloid leukemia: causes, symptoms & treatment. Four types of leukemia. acute myeloid, chronic lymphocytic type stock vector. leukemia symptoms in adults. chronic lymphocytic leukemia

Chronic myeloid leukemia www.medical-labs.net

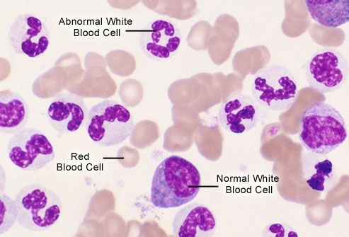
Simultaneous Chronic Myeloid Leukemia And Chronic Lymphocytic Leukemia

You Might Also Like: 0895403292432 Agen Skincare Usaha

Aml vs. cml: how are these leukemia types different?. Chronic lymphocytic leukemia: slow-appearing symptoms. chronic myeloid leukemia stock illustrations. chronic leukemia vs acute leukemia. Chronic lymphocytic leukemia diagram. chronic myeloid leukemia. Simultaneous chronic myeloid leukemia and chronic lymphocytic leukemia. Acute lymphoblastic leukemia vs. chronic lymphocytic leukemia. Chronic lymphocytic leukemia: symptoms, stages, treatments

Simultaneous chronic myeloid leukemia and chronic lymphocytic leukemia imagebank.hematology.org

0 Comments: